지난번 임신 12주차때에 1차 기형아 검사를 받고
4주가 지나 16주차가 되어 2차 기형아 검사를 받았습니다!
(1차 기형아 검사가 궁금하신 분들은 아래 후기 글을 봐주세요 '◡')
[클릭!] 1차 기형아검사 항목 및 비용 자세히 보기!

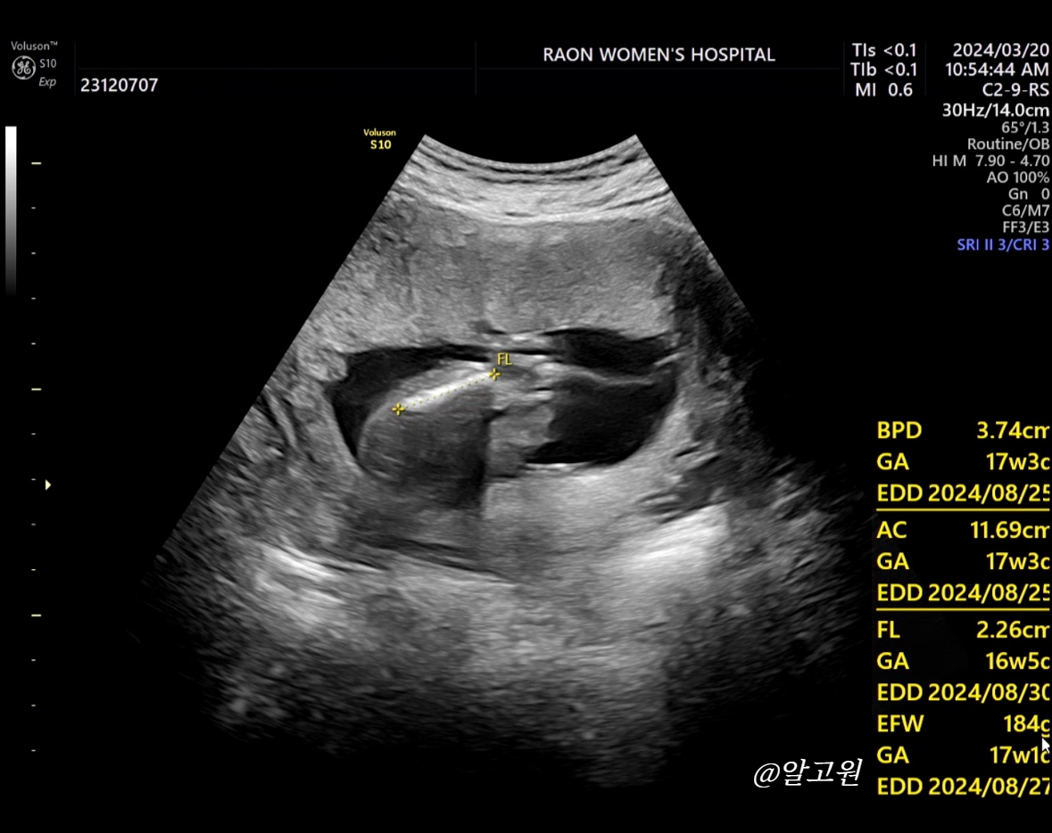
12주에 비해 조금 커진 17주 아가!!!
('베이비빌리' 어플입니다!)
2차 기형아검사에서도 항목은 동일하게
초음파 검사 & 혈액검사를 진행합니다.
초음파는 10분정도 봐주셨어요~!
1차에서 봐주셨던 내용들에서 추가로 몇가지 더 봐주셨는데요.
크게 기억에 남는 건
1. 아기 몸무게
- 아기 몸무게를 머리둘레, 몸통둘레(?), 다리길이로 재주시는데
저희 아가의 경우 184g 으로 나왔습니다! (16주 5일)

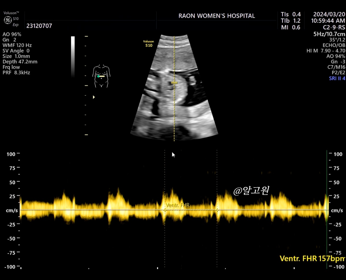
2. 심장 & 장기 체크
- 1차에서 봤던 것처럼 뇌부터 뱃속 장기, 심장박동 소리 등 체크해 주십니다.

3. 성별 확인
-아래는 엉덩이부터 다리 초음파 인데요.
이걸로 보통 판단하시는 듯 해요!
저희 아가는 딸 확정!!!👏👏👏

4. 손가락 & 발가락 확인
- 오른쪽, 왼쪽 손가락과 발가락이 5개씩 잘 있는지
초음파로 봐주셨는데요.
직접 화살표 표시 해주셔서 보기 쉬웠어요!
너무 깜찍한 손가락과 발가락ㅋㅋ( ˃᷄˶˶̫˶˂᷅ ) 💗


5. 입체초음파
마지막에는 입체초음파를 찍어주십니다!
아기 위치가 예쁜 각도가 아니라 약간 아쉬운 입체초음파 사진ㅎㅎ...

초음파 시간이 끝나고
피검사까지 받으면 2차 기형아 검사는 마무리가 됩니다!
검사비용 : 총 20,400원
저는 추가로 임신소양증 먹는약 + 바르는약 처방을 받아 더 많이 나왔을 수도 있습니다!
막상 처방전 받으니 혹시라도 안좋을까봐
약국에서 약은 타진 않았지만..ㅠㅠ
임신 소양증으로 고생하시는 분들 힘내세요!!!
같이 잘 이겨보아요😭😭😭
그렇게 1주일이 지나고...
12주, 16주에 받았던 혈액검사(기형아 검사) 결과가 문자로 옵니다!!!
두둥,,,
(이름은 모자이크 처리했습니다!)

검사결과는 다행히도 정상!
<저위험군 소견으로 정밀검사 필요하지 않습니다>
라는 메세지가 너무 반갑네요!!! '◡'
남은 시간도 뱃속에서 건강하게 자라주기를...💗💗💗