드디어 기다리고 기다리던 임신 12주차!
12주에는 1차 기형아검사가 기다리고 있습니다.
처음에는 기형아 검사라고 하니까 괜히 긴장도 되고 엄청난 검사가 기다리고 있을 것 같았는데요!
생각보다 별거 아닌 후기 써보겠습니다!


우선 기형아검사는 1차와 2차로 구분되어집니다.
보통 1차와 2차는 4주 텀을 두고 진행되는데요!
예를들어 1차 기형아검사를 12주에 진행했다면
2차 기형아검사는 16주에 진행한다고 해요.
| ** 병원은 무조건 예약하고 가시는 것을 추천드립니다! 담당 선생님이 갑작스런 수술에 들어가시거나 예약을 했더라도 소독하는 환자가 있으면 우선시 되기 때문에 기다리는 시간이 상당해요 ! (ㅠ_ㅠ) |
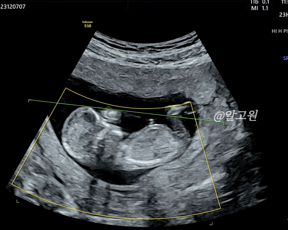
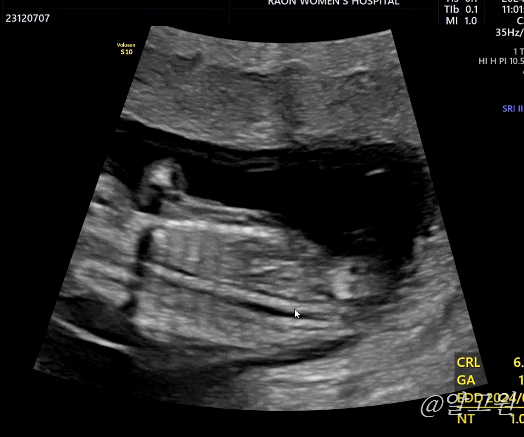
1차 기형아검사에서는
초음파와 혈액검사(피검사)를 받습니다.
저의 경우에는
초음파는 5분~6분정도 봐주셨어요.
다른 분들은 짧게는 3분, 길게는 30분까지 보신분도 계시더라구요.





초음파로 목투명대, 척추와 뼈, 장기, 뇌 모양, 심장박동소리, 태반 위치 등
선생님께서 아주 꼼꼼히 봐주십니다.
다행히도 유동이는 정상,정상,정상!
목투명대도 1mm로 정상수치에 들었어요.
(3mm 이하면 정상, 이상일 경우 추가 검사진행)
** 12주에 과연 성별이 나올까?
확실하진 않지만 나옵니다!
의사선생님께 '혹시 성별은 언제 알 수 있을까요..?' 했더니
'지금!!!' 이라며 다리 사이를 짠하고 보여주셨는데요!
'이정도면은 딸 같은데..?' 라고 하시던 선생님ㅎㅎㅎㅎㅎ
아직 확실하지는 않다고 합니다ㅎㅎㅎ
언제 받아도 적응 안되는 피검사 시간...(ʘ̥ᨉʘ̥)
피검사 결과는 16주에 2차 기형아검사까지 마친 뒤
17주에 통보해 준다고 합니다.
이건 병원마다 다른 것 같긴한데
보통은 2차 기형아검사까지 하고 알려주는 병원이 많고
몇군데는 검사 후 1-2주 뒤에 알려준다고 하더라구요!

**1차 기형아검사 비용
저의 경우 자궁경부암 검사시기가 되어서
자궁경부암 검사를 추가로 받았는데요.
검사항목 : 초음파, 혈액검사, 자궁경부암 검사(1,600원)
검사 비용 : 총 49,500원

저는 임신 진단 후 지금까지 총 5번 병원 진료를 받았는데요.
첫 진료 빼고는 국민행복카드 바우처로 결제를 했고
12주인 현재 바우처 잔액 875,300원 이네요!
입덧약 처방받아 드시는 분들은 벌써 꽤 많이 지출하셨더라구요.
다음에는 4주 후 2차 기형아검사가 기다리고 있는데요.
그때 다시 후기 써보도록 하겠습니다!
저의 1차 기형아 검사 항목과 비용에 대하여 간단하게 작성해 보았습니다.ㅎㅎ
우연하게 제 후기를 읽는 산모분이 계시다면
산모와 아기 모두 건강하게 순산하기를 기원할게요!!
( ˶'ᵕ'🫶)💕